0516-6816 5566

肺结节≠肺癌,但CT单上有这几个“字眼”千万别大意!

发布日期:2023-11-08    浏览次数:188

临床中,我们将直径小于3厘米的肺部结节性病变,称为肺结节

在肺癌筛查中,良性结节占的比重还是较高的,肺内小结节最终确诊为肺癌的比例并不是太高,大约在3%-10%左右

所以,肺结节并不等于肺癌。



胸部CT报告上
出现哪些字眼要注意?


1、磨玻璃结节
磨玻璃结节是病灶密度增加的程度相对来说比较轻,表现为云雾状的密度增高影,透过这个病灶可以看到其内走行的血管、支气管影。
磨玻璃结节根据里边是否含有实性成分,分为纯磨玻璃结节混合性磨玻璃结节
磨玻璃结节可见于很多病变,良性病变,比如炎症、水肿、出血,甚至局灶性的纤维化;癌前病变,比如非典型腺瘤样增生;恶性病变,比如原位癌,早期浸润性腺癌和微浸润腺癌。
第一次发现肺内磨玻璃结节,过三个月之后再复查,磨玻璃结节影仍然存在,大小、形态没有明显改变,不排除恶性可能,建议定期复查。
2、分叶征
分叶征是指结节边缘不光滑,呈分叶状。
主要是由于肿瘤组织向各方向生长不均匀造成的,也可能是由于气管、血管和叶间裂等框架结构阻挡造成的。
出现明显的分叶,恶性的可能性特别高,是肺癌比较明显的征象;浅分叶可以是恶性的,也可以是一些良性病变,比如结核,要进行鉴别。
图片
3、毛刺征  
毛刺征是指结节边缘呈细线状或者是毛刷状,短而齐,呈放射状分布。
主要是由于肿瘤组织向周围浸润性生长,或者是肿瘤周围的炎性反应引起了纤维化,或者是新生血管生成造成的,一般是恶性肿瘤的征象。
图片
4、棘状突起  
棘状突起是指结节边缘呈尖角状,或者柱状突起影。
多是由于肿瘤组织向周围生长蔓延造成的,也是一个恶性肿瘤比较明显的征象,在良性病变中很少见。
图片
5、胸膜凹陷征
胸膜凹陷征是指结节和胸膜之间,可以看到三角形或者幕状的影像。
这个影像的尖端指向结节,基底在胸膜,是由于肿瘤里的纤维组织或者瘢痕对胸膜牵拉造成的,也是一个恶性征象,多见于肺癌。
图片
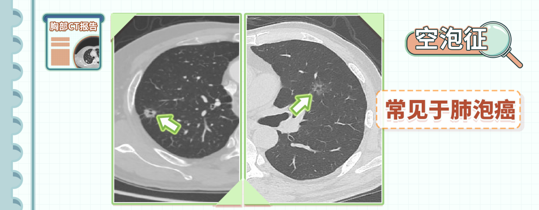
6、空泡征  
空泡征是指在结节里可以看到1-2mm大小、低密度含气的影像。
这种影像多是由于未闭的支气管造成的,常见于肺泡癌。
图片
7、周围结构集中征  
周围结构集中征是指结节周围的气管、支气管,以及邻近的动脉和静脉向结节聚拢,可以见于恶性肿瘤,也可以见于良性病变
但是当聚拢特别明显的时候,要高度警惕恶性的可能。
图片
8、支气管充气征  
支气管充气征是指结节内能够看到含气的支气管影,可以见于普通的炎症、结核,还可以见于恶性肿瘤
图片
以上是胸部CT报告中常见的一些特殊征象,这些征象可能提示恶性的可能,对于结节的恶性征象描述越多,医生才会判定它倾向于恶性
这里需要注意的是,要在专业医生的指导下,进行高分辨率CT指导下的评判,不建议患者本人去猜测这些征象。


病理检查是判断良恶性的金标准


如果医生高度怀疑肺结节是恶性的,通常需要做进一步检查,比如穿刺活检做病理检查,来明确诊断,决定下一步怎么办。
肺内取活检有很多方法,包括支气管镜下活检影像导引下活检,比如CT导引下活检、B超导引下活检;术中胸腔镜下活检
支气管镜下活检,对于发生在肺内、中带的结节,诊断价值比较高;对于肺外带的结节,诊断的敏感度明显降低,所以支气管镜下活检最常用于肺内、中带的病变。
CT导引下活检更适合于肺中、外带的病变,对于肺内带的病变也有比较高的价值,相对用得更广泛,文献报道对肺内恶性病变的诊断敏感度达到90%以上。
B超导引下的活检,适用于病灶紧邻胸壁或紧贴肺外带的情况


肺结节病理检查是恶性的,
要首选手术治疗吗?


期肺癌首选手术根治切除,效果是最好的,除非患者年龄很大,或者心肺功能很差,不能耐受手术。
不管是采用传统的开胸手术,还是胸腔镜微创手术,都是可以的,根治切除范围是一样的。
早期肺癌手术切除可以达到根治,比如原位癌或者微浸润癌,或者癌前病变,做根治性切除五年以上生存率是100%;比如浸润性肺癌,有转移的可能,早期根治切除以后,五年以上生存率可达到85%-90%。
虽然说早期肺癌治愈率很高,但是早期肺癌不容易发现,因为早期往往没有症状,特别是小结节,单靠症状早期发现是不现实的,那么就要依靠体检或筛查。


建议哪些人群定期做肺癌筛查?


一般来说,40岁以下的人群,得肺癌的几率相对比较低,我们不可能做到全员去做肺癌的体检筛查,建议40岁以上的人群每年做一次胸部CT
肺癌的高危人群,比如长期吸烟,有肺癌家族史的人群,更加建议每年做一次胸部CT。

*来源:医学微视